Bs. Lê Lý Trọng Hưng
Bs. Nguyễn Thị Thu Anh
Bệnh nhân nữ 48 tuổi, sờ thấy khối vùng dưới hàm phải, lớn chậm, không đau khoảng nửa năm nay.
TIỀN CĂN : chưa ghi nhận bất thường.
KHÁM LÂM SÀNG: khối vùng dưới hàm phải không đổi màu da, mật độ mềm, ấn không xẹp, kém di động, kích thuớc 2x3cm.
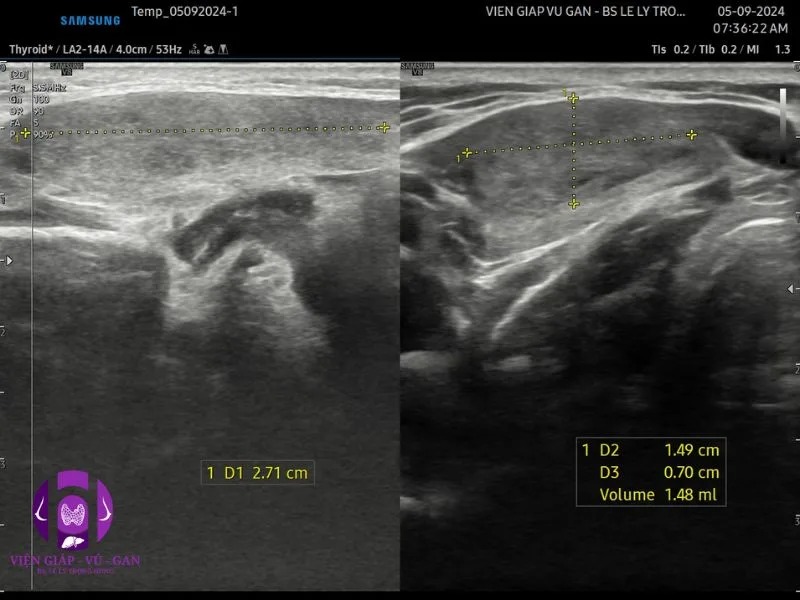
SIÊU ÂM ( máy GE S8 và Sumsung V8 ) ghi nhận :
- Vùng dưới hàm phải, ngay bờ dưới tuyến dưới hàm phải có cấu trúc echo kém không đồng nhất, bờ đều, giới hạn rõ với mô xung quanh, tăng âm phía sau, kt # 20x30mm.
- Doppler cho thấy mạch máu phân bố ngoại vi và trung tâm.
- Kết luận: tổn thương vùng dưới hàm trái nghĩ bướu . Chẩn đoán phân biệt với hạch.
TIẾN HÀNH SINH THIẾT LÕI: (bằng kim 14G) Bướu cấu tạo bởi nhiều khung mạch máu giãn rộng, lòng lót tế bào nội mô bình thường và chứa nhiều hồng cầu.
- Kết quả: BƯỚU LÀNH MẠCH MÁU DẠNG HANG.
TƯỜNG TRÌNH PHẪU THUẬT: phẫu thuật cắt bướu trọn bướu
KẾT QUẢ GIẢI PHẪU BỆNH: ĐANG CẬP NHẬT
- Kết luận :
BÀN LUẬN:
- Bướu mạch máu là u phần mềm phổ biến nhất, chiếm 7% trong số tất cả các khối u lành tính.
- Vị trí của u có thể nông hoặc sâu, trong đó các tổn thương sâu thường gặp nhất là trong cơ. Các tổn thương nông dễ chẩn đoán, xuất hiện dưới dạng khối u dưới da hơi nhô lên, màu xanh tím. Tuy nhiên, các tổn thương sâu hơn thường khó chẩn đoán vì màu da bình thường và cần các phương tiện chẩn đoán hình ảnh. Một số bướu trong cơ cũng có thể gây teo cơ.
- Phân loại theo mô học bao gồm : dạng mao mạch, dạng hang, dạng động mạch tĩnh mạch và biểu mô, trong số đó, dạng mao mạch và dạng hang thường gặp hơn.
TÀI LIỆU THAM KHẢO:
- Eizinger FM. SOFT TISSUE TUMORS. 3rd Edition. St. Louis: Mosby-Year Books, Inc; 1993.
- Brizard C, Latremouille C. Cardiac Hemangioma. Ann Thorac Surg. 1993;56:390–394
- Weerakkody Y, Ranchod A, Jabaz D, et al. Soft tissue venous malformations. Reference article, Radiopaedia.org (Accessed on 14 Sep 2024) https://doi.org/10.53347/rID-17276
XEM THÊM:CASE 219: BƯỚU MẠCH MÁU VÙNG DƯỚI HÀM TRÁI



