Bs. Lê Lý Trọng Hưng
Bs. Nguyễn Thị Thu Anh
Bệnh nhân nữ 23 tuổi, sờ thấy khối ở vú phải 3 tháng nay, không đau, không sốt. Bệnh nhân đang cho con bú được 4 tháng, khối này không mất đi sau khi vắt sữa.
TIỀN CĂN : Gia đình không có người mắc ung thư
SIÊU ÂM ( máy Samsung V8)
-
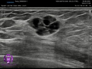
- Vú phải: vị trí 10g rìa vú có echo hỗn hợp dạng đặc và nang, bờ đa cung lớn, giới hạn rõ, không vôi, tăng âm phía sau, kích thước 20x12x10mm . Doppler: mạch máu phân bố thưa thớt ở ngoại vi
- Hạch trên nách phải : chưa ghi nhận hạch bệnh lý
- Kết luận: Tổn thương vú phải( BI-RADS 3)
CHỌC HÚT TẾ BÀO: dịch rút có màu trắng đục lẫn hồng nhạt, xẹp hoàn toàn sau khi hút
- Kết quả: Nhiều chất dịch lẫn ít cụm tế bào biểu mô đỉnh tiết.
- Kết luận : BỌC VÚ LÀNH TÍNH
BÀN LUẬN:
- Bọc sữa ( Galactocele hoặc lactocele ) là tổn thương vú lành tính phổ biến nhất thường xảy ra ở phụ nữ trẻ đang cho con bú; tuy nhiên, chúng chủ yếu xảy ra khi ngừng cho con bú. (1)
- Trên siêu âm, bọc sữa thường là khối u nang (cystic mass) có tăng âm phía sau, độ hồi âm phụ thuộc vào hàm lượng thành phần bên trong (chất béo, đạm, nước). Không bao giờ xuất hiện mạch máu bên trong. (2,3)
- Cần chẩn đoán phân biệt với: U tuyến tiết sữa (Lactating adenoma), áp xe vú, bướu sợi tuyến, ung thư vú,… (4)
- Biến chứng của bọc sữa có thể nhiễm trùng thứ phát dẫn đến áp xe vú . (4)
TÀI LIỆU THAM KHẢO
- Sabate JM, Clotet M, Torrubia S et-al. Radiologic evaluation of breast disorders related to pregnancy and lactation. Radiographics. 2007;27 Suppl 1 : S101-24. doi:10.1148/rg.27si075505 – Pubmed citation
- Vashi R, Hooley R, Butler R, Geisel J, Philpotts L. Breast imaging of the pregnant and lactating patient: physiologic changes and common benign entities. Am J Roentgenol. 2013;200:329–336.
- Holanda AAR, Goncalves AKS, Medeiros RD, Oliveira AMG, Maranhao TMO. Ultrasound findings of the physiological changes and most common breast diseases during pregnancy and lactation. Radiol Bras. 2016;49:389–396.
- Radswiki T, Liao A, Anan R, et al. Galactocele. Reference article, Radiopaedia.org (Accessed on 03 Sep 2024) https://doi.org/10.53347/rID-12635





