Tổng Quan Về Tổn Thương Vú Không Điển Hình
Định nghĩa và phân loại
Tổn thương vú không điển hình là những bất thường tại vú không có biểu hiện rõ ràng là lành tính hay ác tính trên lâm sàng và hình ảnh học. Những tổn thương này có thể xuất phát từ mô tuyến, mô mỡ, mô liên kết hoặc mạch máu.
Tầm quan trọng trong lâm sàng
Việc nhận diện các tổn thương không điển hình có vai trò cực kỳ quan trọng vì chúng có thể:
- Là ung thư giai đoạn sớm
- Là tổn thương lành tính nhưng có hình ảnh “giả ác”
- Gây khó khăn trong chẩn đoán và điều trị
Tình Huống Lâm Sàng Case Report 460
Thông tin bệnh nhân
Bệnh nhân nữ, sinh năm 1975, phát hiện khối u vú trái trong vòng 2 năm. Trước đó đã được sinh thiết kim nhỏ với kết quả lành tính.
Diễn tiến bệnh
Khối u không thay đổi đáng kể theo thời gian, không đau, bệnh nhân chỉ theo dõi định kỳ mà chưa có can thiệp điều trị.
Khám Lâm Sàng
Đặc điểm khối u
- Vị trí: ¼ trên ngoài vú trái
- Kích thước: khoảng 2cm
- Tính chất: chắc, di động tốt, không đau
- Không có dấu hiệu dày da hay viêm
Ý nghĩa dấu hiệu lâm sàng
Các đặc điểm này thường gợi ý tổn thương lành tính, tuy nhiên không đủ để loại trừ hoàn toàn nguy cơ ác tính.
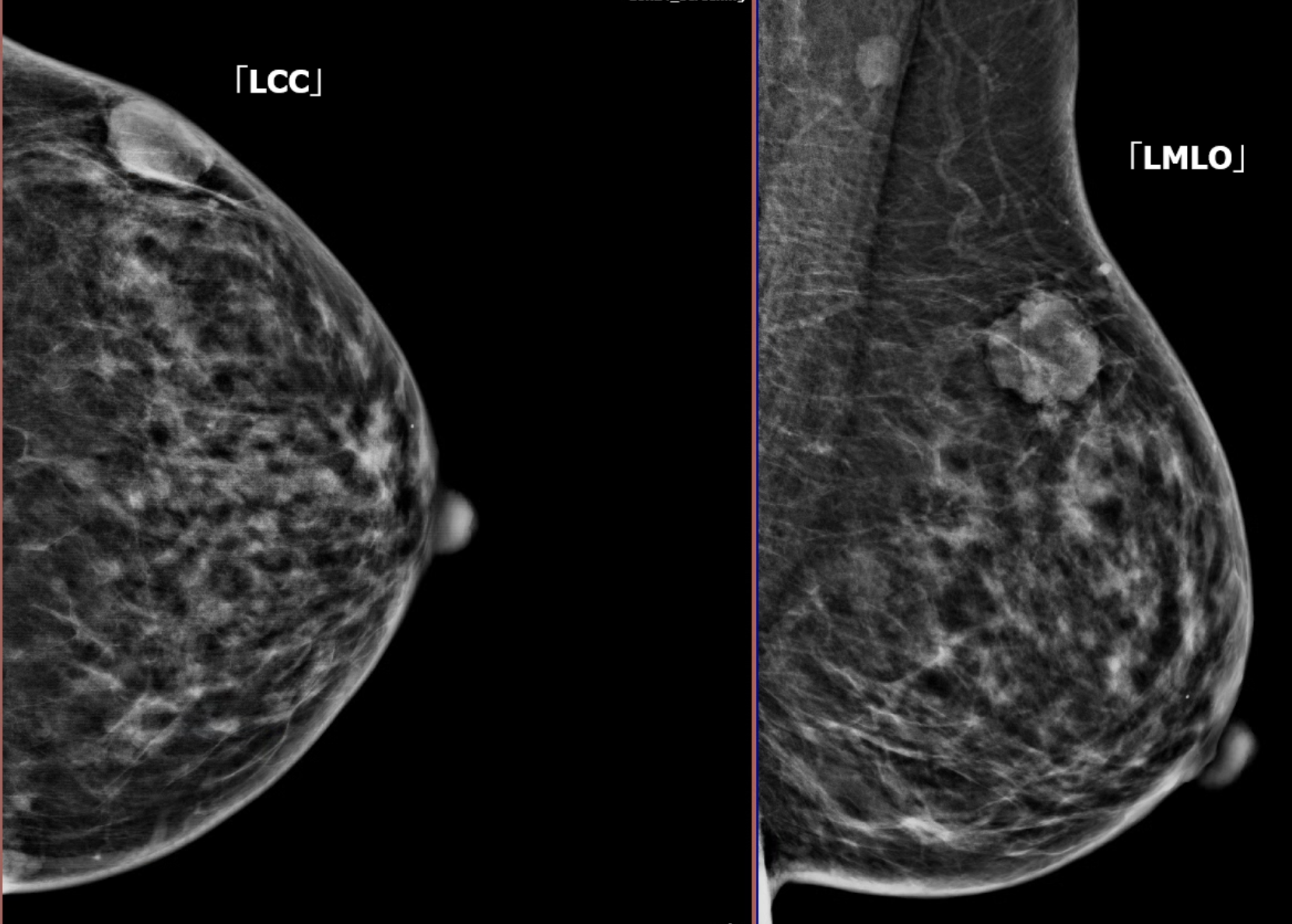
Chẩn Đoán Hình Ảnh
Kết quả siêu âm
Đặc điểm tổn thương
- Kích thước: 27x23x14mm
- Echo kém, không đồng nhất
- Bờ đa cung lớn
- Tăng sinh mạch máu quanh bướu
- Không vi vôi hóa
👉 Phân loại: BIRADS 4C (nghi ngờ ác tính cao)
Kết quả nhũ ảnh
So sánh BIRADS
- Khối bầu dục, giới hạn rõ
- Không xáo trộn cấu trúc
- Không vi vôi hóa
👉 Phân loại: BIRADS 3 (có khả năng lành tính)
➡️ Sự khác biệt này cho thấy tính không đồng nhất giữa các phương pháp chẩn đoán.
Chẩn Đoán Ban Đầu
Vai trò FNAC
Sinh thiết kim nhỏ (FNAC) cho kết quả: bướu sợi tuyến – một tổn thương lành tính phổ biến.
Giới hạn của tế bào học
- Không đánh giá được cấu trúc mô học tổng thể
- Có thể bỏ sót tổn thương ác tính hoặc khác nguồn gốc
Biện Luận Lâm Sàng
Không tương hợp chẩn đoán
- Lâm sàng: lành tính
- Siêu âm: nghi ngờ ác tính
- FNAC: lành tính
👉 Điều này đặt ra nghi ngờ về độ chính xác của chẩn đoán ban đầu.
Nghi ngờ nguồn gốc mô
Tổn thương phát triển chủ yếu trong mô mỡ trước vú, không phải mô tuyến → cần nghĩ đến:
- U mô mềm
- U mạch máu
Điều Trị
Chỉ định phẫu thuật
Do không có sự tương hợp giữa các phương pháp chẩn đoán → chỉ định phẫu thuật cắt trọn khối u.
Kết quả giải phẫu bệnh
- Đại thể: khối mềm, sát da
- Vi thể: u mạch máu dạng hỗn hợp hang và mao mạch
👉 Đây là tổn thương lành tính nhưng hiếm gặp.
Bàn Luận Chuyên Sâu
U mạch máu vú là gì
U mạch máu là khối u phát sinh từ hệ thống mạch máu, thường lành tính và hiếm gặp trong vú.
Khó khăn trong chẩn đoán
- Không có hình ảnh đặc trưng trên siêu âm hoặc nhũ ảnh
- Dễ bị nhầm với ung thư vú
- FNAC không đủ độ chính xác
Vai trò MRI
MRI có độ nhạy cao trong đánh giá mô mềm, tuy nhiên:
- Chi phí cao
- Không phổ biến trong thực hành thường quy
Bạn có thể tham khảo thêm về chẩn đoán hình ảnh vú tại:
👉 https://radiologyinfo.org/en/info/breast-imaging
Bài Học Lâm Sàng (Take Home Message)
Cảnh giác ung thư vú
Mọi tổn thương không điển hình cần được đánh giá kỹ để loại trừ ung thư.
Giá trị sinh thiết trọn
Sinh thiết trọn:
- Là tiêu chuẩn vàng
- Giúp xác định chính xác bản chất tổn thương
- Định hướng điều trị tiếp theo
Kết Luận
Case trên cho thấy một thực tế quan trọng trong lâm sàng: không phải mọi khối u ở vú đều xuất phát từ mô tuyến. Sự không tương hợp giữa lâm sàng, hình ảnh và tế bào học là dấu hiệu cảnh báo cần can thiệp sâu hơn.
Sinh thiết trọn đóng vai trò quyết định trong việc xác định chẩn đoán chính xác, từ đó đảm bảo điều trị đúng và hiệu quả cho bệnh nhân.


