CASE 257 : BƯỚU MẠCH MÁU LÁCH

Cập nhật lần cuối: 01-04-25 bởi BS.Nguyễn Thị Thu Anh

 

Bs. Lê Lý Trọng Hưng

Bs. Nguyễn Thị Thu Anh

Bệnh nhân nữ 49  tuổi, khám tầm soát.

TIỀN CĂN: chưa ghi nhận bất thường

LÂM SÀNG: ấn đau vùng hố chậu trái

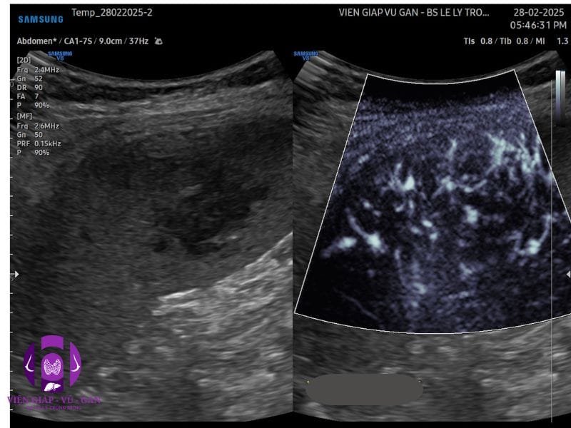
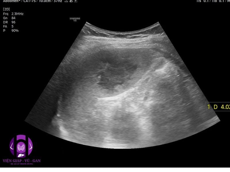
SIÊU ÂM BỤNG:

Lách: không to, cực dưới có khối echo dày, không đồng nhất, bờ đều, giới hạn rõ, kt# 40x30x25mm, doppler ghi nhận mạch máu phân bố rải rác ngoại vi và trung tâm.

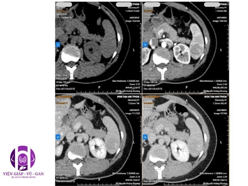
CTSCAN BỤNG CÓ THUỐC: 

Lách: không to, tổn thương choán chỗ nhu mô cực dưới, giới hạn rõ, kích thước # 41x33x34mm, giảm nhẹ đậm độ trước tiêm, sau tiêm thuốc cản quang tổn thương bắt thuốc dạng chấm – nốt ở thì động mạch, lấp dần ở thì tĩnh mạch và thì muộn. Vỏ bao lách còn nguyên vẹn, không thâm nhiễm mỡ hay tụ dịch xung quanh.

BÀN LUẬN: 

  • Bướu mạch máu lách là tổn thương lành tính thường gặp nhất ở lách. 
  • Hầu hết được phát hiện một cách tình cờ ở bệnh nhân không triệu chứng.
  • Bướu mạch máu lách thường đơn độc. Tuy nhiên, vẫn có trường hợp đa bướu hoặc lan tỏa.
  • Bệnh bướu mạch máu (hemagiomatosis) có thể là biểu hiện của bệnh u mạch hệ thống (systemic angiomatosis)  trong hội chứng Klippel-Trénaunay . Hội chứng Kasabach-Merritt (thiếu máu, giảm tiểu cầu và rối loạn đông máu) có liên quan đến u mạch máu lớn.

Bướu mạch máu lách điển hình có các đặc điểm hình ảnh sau:

SIÊU ÂM:

  • Khối echo dày, đồng nhất, giới hạn rõ, không tăng âm phía sau.
  • Doppler: tín hiệu mạch máu ít. (80% không có tín hiệu mạch)

CT:

  • Khối giới hạn rõ, ngấm thuốc dạng chấm nốt ở ngoại vi không liên tục thì động mạch, ngấm dần vào trung tâm thì muộn.
  • Nốt nhỏ có thể ngấm thuốc đồng nhất thì động mạch, giữ thuốc thì muộn.

TÀI LIỆU THAM KHẢO:

  1. Weerakkody Y, Ranchod A, Yap J, et al. Splenic hemangioma. Reference article, Radiopaedia.org (Accessed on 21 Mar 2025) https://doi.org/10.53347/rID-17918

XEM THÊM:CASE 256: ĐA U MÔ THỪA ĐƯỜNG MẬT (Biliary Hamartoma)

 

Để lại một bình luận

Email của bạn sẽ không được hiển thị công khai. Các trường bắt buộc được đánh dấu *